健康促進中國行—“挺拔人生”脊柱健康公益行動——綿陽站
2023-07-01
由中國健康促進基金會主辦,中國人民解放軍總醫院骨科醫學部協辦,四川省科學城醫院承辦的健康促進中國行—“挺拔人生”脊柱健康公益行動綿陽站活動于2023年6月25日在四川綿陽正式啟動。
德康醫療脊柱畸形治療解決方案
2023-06-21
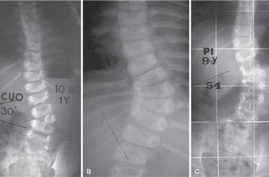
德康醫療與北京協和醫院仉建國教授團隊合作研發的VSS脊柱專用矯形器械,功能強大,靈活應對脊柱復雜三維矯形手術。
股骨近端髓內釘的發展及應用
2023-05-23
髓內釘(Intramedullary Nailing)技術是常用的骨科內固定手段,其歷史可以追溯到上世紀40年代,廣泛應用于長骨骨折、骨不連等治療,通過在髓腔中心位置植入髓內釘對骨折部位進行固定。
新征程〡 德康骨科學院新址隆重揭牌
2023-03-25
德康骨科學院新址揭牌儀式于3月24日在德康醫療新一期智能化生產研發基地隆重舉行。