喜迎國慶丨愿以寸心寄華夏,且(qie)將歲月(yue)贈山河
2024-10-01
熱烈慶(qing)祝(zhu)中華(hua)人民共(gong)和國成立75周年
國際動態 | 德(de)康醫(yi)療亮相2024年44屆(jie)SICOT大會
2024-09-30
9月25-27日(ri),德(de)康醫療參(can)加了在塞爾維亞首都貝爾格(ge)萊德(de)舉行(xing)的第(di)44屆SICOT大會(hui)。
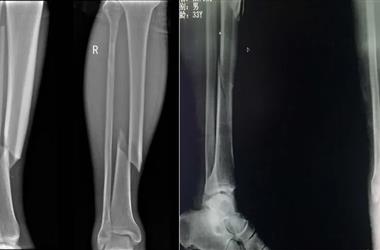
德(de)康醫(yi)療脛骨(gu)骨(gu)折解決方案——脛骨(gu)髓內釘
2024-09-26
臨床上對(dui)脛骨骨折患者治療(liao)的非手術(shu)(shu)手段(duan)包括支具、石膏外固定(ding)(ding)與牽引(yin)、手法復位及外固定(ding)(ding)支架的使用等(deng)等(deng);手術(shu)(shu)方式包括鎖定(ding)(ding)鋼(gang)板內(nei)固定(ding)(ding),髓內(nei)釘固定(ding)(ding)等(deng)等(deng)。
優(you)選(xuan)病例:Uni-L插片(pian)式自穩(wen)定型腰椎融(rong)合器(qi)
2024-09-19
插片式自(zi)穩(wen)定腰(yao)椎融合(he)器應用(yong)于前次(ci)融合(he)手術失敗及(ji)鄰椎病(bing)。