腰椎側(ce)前(qian)方椎間(jian)融(rong)合術——OLIF技術(Oblique Lumber Interbody Fusion)是(shi)目前(qian)最新的一種腰椎融(rong)合入(ru)路技術。
該術式具有創傷小、手術時間短、術中出血少、融合率高、住院時間短及快速康復等優勢,且基本不需要神經電生(sheng)(sheng)理(li)監測設備。因此,無論從臨(lin)床(chuang)效果還是從衛生(sheng)(sheng)經濟學考(kao)慮都(dou)具有相當的優勢。

相較于其他(ta)入路(lu)方(fang)式,OLIF具有以下優點:
相較(jiao)于PLIF和TLIF術式,不(bu)剝離椎旁肌,不(bu)切除椎板(ban),不(bu)破(po)壞(huai)關節突,既降低了(le)術后腰(yao)痛(tong)的發生率,又降低了(le)臨近節段退變的可(ke)能性;
相較于X/DLIF術式,不(bu)經過腰大肌,不(bu)需要時(shi)時(shi)的神經監測,減少(shao)了(le)傷及腰大肌內神經、血管的可能(neng)性(xing),且降低了(le)操作難度,減少(shao)了(le)手術時(shi)間;
此外,在處理L4/L5時不受髂(qia)棘(ji)的遮擋,手(shou)術(shu)適應節段(duan)更(geng)廣泛;
相(xiang)較于ALIF術式,減(jian)少了術后(hou)牽拉痛的可(ke)能性(xing),避開了前路大血管從(cong)而降(jiang)低了損傷風險(xian),損傷交感鏈的可(ke)能性(xing)也大幅降(jiang)低,減(jian)少了術后(hou)逆行性(xing)射精(jing)的風險(xian)。
德康Uni-L插(cha)片式自穩(wen)定型腰椎融合器

安全微創·高效輕松
融合器(qi)設計理念

固定(ding)夾設計理(li)念

預彎的固定夾設計,交叉式自導(dao)向打入
根(gen)據不同椎體(ti)高度,選(xuan)擇合適的(de)固定夾
固定夾(jia)自限位設計,確(que)保(bao)打入(ru)后穩定性
安全簡單的操作方式(shi)
限深可調,融合器植入位置(zhi)更精準(zhun)

固(gu)定夾敲入即(ji)鎖緊,操(cao)作(zuo)更簡單

降低對椎體邊緣骨贅處理要求,縮短手術時(shi)間(jian)

翻身進行后路釘棒固定(ding)時,減(jian)少融(rong)合(he)器(qi)移位風險(xian)

更加微(wei)創的手(shou)術理念
為(wei)Stand-alone技術提(ti)供(gong)更優秀的解決方案

腰椎(zhui)活動度(du)
固(gu)定(ding)夾(jia)可(ke)使責任椎(zhui)間隙術后得到即刻(ke)穩(wen)定(ding),通過固(gu)定(ding)夾(jia)將(jiang)融(rong)合(he)器與上下終(zhong)板錨(mao)定(ding),增加了固(gu)定(ding)和負載界面(mian),不(bu)但可(ke)防止(zhi)融(rong)合(he)器移位(wei),還(huan)可(ke)分擔椎體終板應力,減少融合器下沉的發生率(lv)。
切口更小

單節(jie)段3~4cm/雙三節(jie)段4~5cm小(xiao)切口,更(geng)符(fu)合(he)微(wei)創理(li)念。
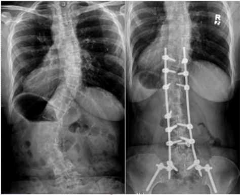
減少退變(bian)性(xing)側彎的(de)置釘數量(liang)

對于退(tui)變性側彎/后凸畸形患者(zhe),可以選(xuan)擇一(yi)期融合+二期固定的方式,可以降低置釘數量(liang),減少對相關(guan)節段骨(gu)性結構及軟組織(zhi)的損傷。
腰椎零切跡設計理(li)念

規格型號

腰椎(zhui)零切跡 YZP-I

腰椎固定夾 YGDJ-I
規格:S/M/L
融合器工具(ju)展示


