下尺橈關節主要功能是維持前臂旋轉時的穩定。下尺橈關節損傷與脫位分為單純型及可合并前臂任意部位骨折,手腕部撐地傷、腕部突然扭傷或提重物,使腕關節橈偏、背屈或旋轉的應力均可造成此種損傷。
損傷分類
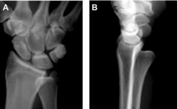
依據下尺橈關節脫位方向,可分為掌側脫位與背側脫位:
掌側脫位
下尺橈掌側韌帶斷裂時,旋后過程會發生尺骨小頭向掌側的半脫位。掌側脫位由于旋前方肌的牽拉,導致尺橈骨發生重疊。

背側脫位
下尺橈背側韌帶斷裂時,旋前過程即會發生尺骨小頭向背側的半脫位。背側脫位由于旋前方肌的阻擋,尺橈骨不會發生明顯重疊。

背側位移 掌側位移
臨床表現與診斷
腕關節疼痛:局限于下尺橈關節及尺骨。莖突處,腕關節旋轉及尺偏時疼痛加重;
局部腫脹:一般較輕;
局部彈性隆起:尺骨頭向背側或掌側隆起,壓之復位,抬手即彈回原處,即“琴鍵”征;
活動受限:因疼痛患側前臂旋轉及尺偏明顯受限,伴有三角軟骨損傷時尤甚。
下尺橈關節脫位的診斷除依靠損傷機制、臨床表現及影像表現外,某些損傷也可提示存在下尺橈關節韌帶的損傷。包括蓋氏骨折、尺骨莖突基底部的骨折及CT橫斷位乙狀切跡的撕脫骨折。

從左到右:
蓋氏骨折、尺骨莖突基底部骨折、乙狀切跡撕脫骨折
手術治療:彈性固定
帶孔導針穿過尺骨和橈骨,將牽引線放入尾孔導針后拉出;
將橈骨端縫線在可調節鈦板線圈系一單節;
牽引縫線撤出后將可調節鈦板線圈放入蝶形板線槽內;
收緊可調鈦板,使可調節鈦板、蝶形板分別緊貼尺骨及橈骨;
打結固定,剪斷多余縫線。

術后照片
作用原理與技術優勢
微創手術設計
采用“系鞋帶”式袢板結構,通過尺橈骨骨隧道固定,動態懸吊替代傳統鋼釘/螺釘剛性固定,減少軟組織損傷。
可調節性
術中實時調整張力,確保關節復位精準,避免過度固定導致的旋轉受限。
生物力學合理性
有限元分析證實,橈尺韌帶損傷會導致關節位移異常,袢板懸吊可模擬韌帶功能,分散應力,維持關節動態穩定。

可調袢
型號:EBA0322
規格: 4.0×12×1.5mm

蝶形板
型號:EBA0720
規格:14×1.5mm
損傷分類